Березень — місяць подолання туберкульозу
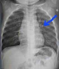
Березень в Україні традиційно присвячений подоланню туберкульозу (ТБ) — одного з найпоширеніших інфекційних захворювань у світі. Цьогоріч він проходить під гаслом: «Так! Ми можемо подолати туберкульоз. Лідерство — за державою, сила — в громадах». Воно підкреслює, що ефективна протидія ТБ Read More










